Sürekli Baş Ağrısı Şikayetiyle Hastaneye Gitti


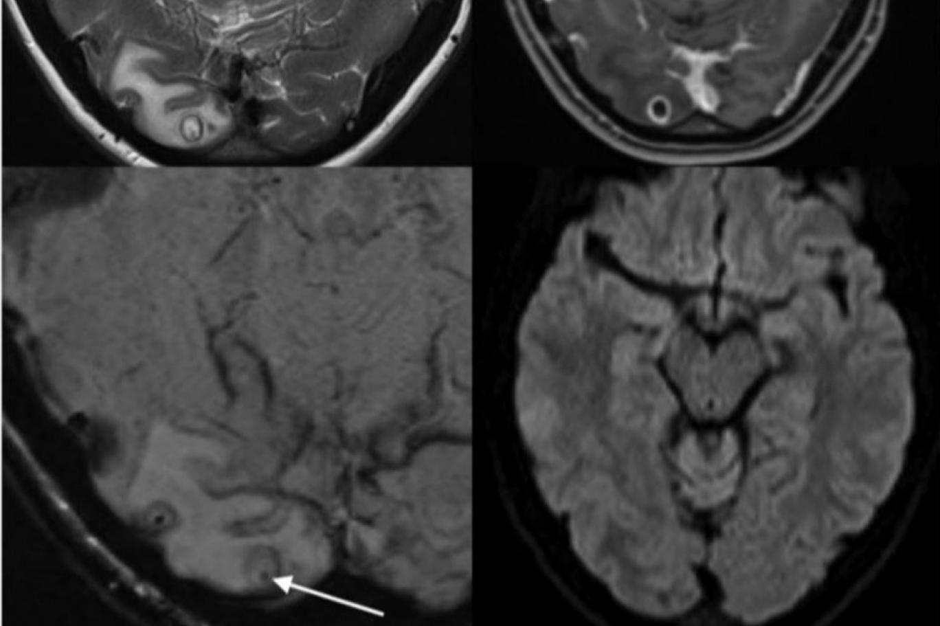
Mirror’ın haberine göre; Doktorlar, şiddetli baş ağrıları yaşayan kadının beyninde büyüyen bir tenya larvası buldular.

Yadira Rost, şiddetli baş ağrılarıyla 9 ay önce tanıştı. Ve iyice şiddetlenen ve daha da kötüleşen bu ağrılar nedeniyle tıbbi yardım almaya karar verdi.Beyninde kurt larvası olduğu belirlenen kadın ameliyata alındı. 31 yaşındaki kadın şimdi 2 yıl önce yaptığı Meksika gezisinde hastalık kaptığına inanıyor.
Reklamlar