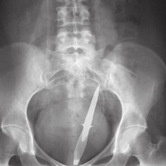
Röntgen filmlerinden "akıl almaz şeyler
Hastane koridorlarına düşenler bilir… Doktora görün, tahlilleri yaptır, röntgenleri çektir falan filan derken sayılmadan ömür gider. Gelin ki bu sefer ilginç şeyler çıkmış ki görün ağzımız açık kaldı…
Haberin devamı için resime Bölümü ,,,,,,,,,,,,,,

