Kabartma tozunun büyük faydaları


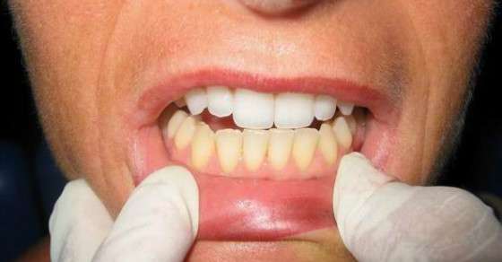
7- Diş ve ağız bakımı için Ağız bakımı için diş fırçanıza uygulayarak ya da gargara yaparak kullanabilirsiniz. Kabartma tozu: -Diş lekelerini çıkarıp tartar ve plak oluşumunu önler -Ağız kokusunu giderir -Diş eti iltihabını önler -Uçuk ve ağız kenarında oluşan yaraları iyileştirir8- Cilt ve saç bakımı için Kimyasal ürünler yerine kullanabilirsiniz. Kabartma tozu: -Tıraş sonrası cilt tahrişini önler -Sivilce ve siyah noktaların oluşumunu önler -Derinizi toksin ve ölü deriden arındırır -Saçınızı şampuan kullanmadan temizler -Saç kepeğini önler -Koltuk altlarında koyulaşmayı beyazlatır -Dirsek ve dizlerini nemlendirip yumuşatır.
Reklamlar