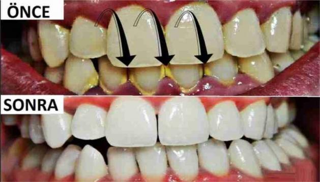
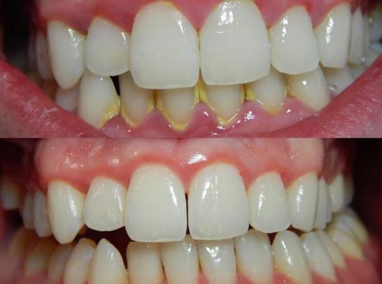
40 yıl düşünseniz aklınıza gelmez! Dişteki tartarları birkaç günde tamamen yok ediyor… Tartar birikiminden kaynaklanan kahverengi veya sarı dişleri kimse istemez. Fakat bu renk değişikliğinden tam olarak nasıl kurtulursunuz? Dişleri beyazlatmak için evde yapabileceğiniz birçok yöntem var.



